
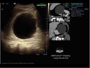
The ACUSON S3000™ Ultrasound System offers interventional radiologists and cutting-edge healthcare centers a gateway to the most advanced ultrasound technologies, including clinical innovations that combine 3D imaging modalities with real-time ultrasound imaging.esiefusion_imaging2-00290492~10 The ACUSON S3000™ ultrasound system is the gateway to Siemens pioneering technologies now and in the future.
Technology made practical: Advance routine clinical medicine with eSieFusion™ Imaging
3D navigational support: biopsy and ablate with 3D ultrasound guidance from eSieGuide Needle Tracking
Workflow Excellence: Achieve workflow excellence with Multi-modality Review.
Leadership in Strain Imaging: Adopt the most comprehensive library of elastography applications
HD Image Quality: Acquire a complete portfolio of S Family™ ultrasound system transducers including the 8C3HD transducer
ACUSON S Family™ System Upgradeability: obtain investment protection by upgrading to the platform that meets your needs
The ACUSON S3000™ ultrasound system is pioneering the future of ultrasound.
Merge CT or MRI 3D data volumes with real-time ultrasound with manual, point, and automated alignment tools.
More practical workflow for routine clinical use
Reduced examination time from auto-alignment
Reduced expenditures from other image modality follow ups
Utilize 3D real-time ultrasound navigational guidance supporting biopsies and ablation procedures.
Reduce risk of biopsy and ablation procedures
Add 3D markers to align lesion to needle orientation
Reduce potential expenditures from complications
Import and view historic ultrasound, CT, MR, or Mammography for split screen comparison with real-time Ultrasound.
May generate more accurate follow-up examinations
Could reduce the time for pre-examination review
Potentially reduce unnecessary workstation imaging equipment
ACUSON S3000 system offers the most complete portfolio of advanced elastography and shear wave applications using Acoustic Radiation Force Impulse (ARFI) clinical applications.
eSie Touch™ Imaging
Virtual Touch™ Imaging*
Virtual Touch™ Quantification*
Virtual Touch™ IQ*.